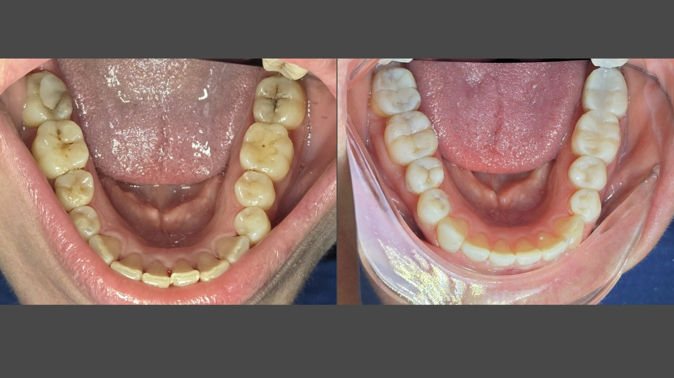
Caso Clínico 1